0394-6869711/6839058
上午:8:00--12:00,下午:2:30--5:30(夏季) 2:00--5:00(冬季)
24小时急救电话:0394-6838000
6838120/6829903/6869800
近日,太康县人民医院普外二科团队成功为一名复杂肝内胆管结石患者实施高难度微创手术,以“小切口”解决“大问题”,再次彰显了我院肝胆外科微创技术的成熟与实力。
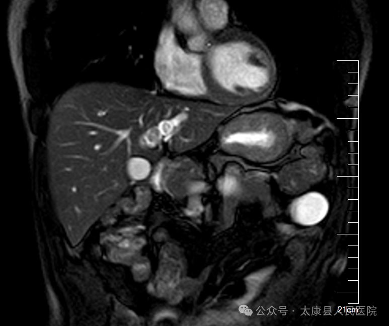
患者因"间断腹痛1天余"入院,经CT及MRCP检查诊断为:肝内胆管多发结石并胆管扩张、阑尾炎若采用传统开腹手术,需25cm以上切口,创伤大、恢复慢。
在副院长李彤的指导下,普外二科科主任刘进学带领由副主任医师冯海雷、主治医师杨磊、医师王朝旭组成的医疗团队,经过了充分术前讨论和评估,决定采用腹腔镜微创手术方案。
手术过程中,刘进学主任凭借丰富的临床经验和娴熟的操作技巧,联合麻醉科副主任医师王晓东、手术室护士长张翠华等医护人员精准完成“腹腔镜下肝左外叶切除+胆管切开取石T管引流术+胆道镜探查+胆囊切除术+阑尾切除术”等多个手术步骤。术后复查显示肝内结石清除干净,患者恢复良好。
胆囊创面
放置肝门阻隔带
肝切除术后创面
刘进学主任强调:“微创不是目的,治愈才是根本,我院普外科团队始终秉承“精准外科”理念,结合术中胆道镜等技术,确保结石清除彻底,减少复发风险。目前腹腔镜手术于普外科应用较广泛应用于胆囊切除、胆总管切开取石、胃肿瘤切除、肠肿瘤切除、阑尾切除、肝部分切除、脾脏切除等手术。”
此次复杂肝胆微创手术的成功开展,标志着太康县人民医院在微创外科领域又迈出了坚实的一步。作为我县医疗服务的排头兵,医院始终坚持以患者为中心,以技术创新为驱动,不断提升医疗服务能力和水平。让更多患者在家门口就能享受到优质、高效、安全的医疗服务。
Copyright 2006-2011Powered by Tkxyy.com, 太康县人民医院 All Rights Reserved.
地址:南院区:河南省太康县迎宾大道中段东侧 北院区:河南省太康县建设路南段469号 邮编:461400
电话:0394-6869609/6822471医院投诉电话:医患关系办公室 0394-6818868
院长信箱:tkxrmyy@126.com 备案号: 豫ICP备16014485号-1
网站信息仅供参考,不能作为诊断及医疗的依据,就医请到太康县人民医院,我们将全心为您服务!
豫公网安备 41162702000115号

技术支持: 中原传媒
扫码关注
扫码关注